What Are Signs Of Prostate Cancer Recurrence : Movember Metastatic Prostate Cancer - Because the cancer is so slow growing, some people won't.
Dapatkan link
Facebook
X
Pinterest
Email
Aplikasi Lainnya
What Are Signs Of Prostate Cancer Recurrence : Movember Metastatic Prostate Cancer - Because the cancer is so slow growing, some people won't.. 4 early warning signs of prostate cancer. The symptoms and signs of prostate cancer may include: Prostate cancer rarely produces symptoms in the early stage; Recurrence of prostate cancer occurs when cancer returns after initial treatment has been completed. Learn more about the signs and symptoms here.
Prostate cancer, also known as carcinoma of the prostate, is the development of cancer in the prostate, a gland in the male reproductive system. Recurrence of prostate cancer is mostly related to the stage and degree of aggressiveness of the cancer at the time of initial treatment. 29 prostate cancer in younger patients 30 clinical trials 31 supplementary interventions 33 what are the possible side effects of treatment? By ty bollinger december 2, 2019 12,266 facebook shares. Other noncancerous conditions of the prostate, such as bph or an enlarged prostate, can cause similar symptoms.
Treatment Management Of Prostate Cancer Cancerconnect from news.cancerconnect.com Weak or interrupted urine flow or the need to strain to empty the bladder. Transrectal ultrasonography compared to histopathological assessment for local staging of prostatic. Learn more about the signs and symptoms here. The prostate is a gland in the male reproductive system that surrounds the urethra just below the bladder. Several signs can point to a prostate cancer that has come back or spread, including Prostate cancer is the most common noncutaneous cancer in men in the united states. 29 prostate cancer in younger patients 30 clinical trials 31 supplementary interventions 33 what are the possible side effects of treatment? Most prostate cancers are slow growing.
Not including skin cancer, prostate cancer is the most common cancer in american men.
The prostate is a gland in the male reproductive system that surrounds the urethra just below the bladder. Because of this, many men with prostate cancer will. Some prostate cancer grows too slowly to cause any problems or affect how long you live. Prostate cancer, also known as carcinoma of the prostate, is the development of cancer in the prostate, a gland in the male reproductive system. Psa is concentrated in prostatic tissue, and serum psa levels are normally very low. 95% of prostate cancers are adenocarcinomas which develop from the acini of the prostatic ducts 15. It is important to report new signs or symptoms to your doctor. However, the relative survival rates remain high; This is called benign prostatic hyperplasia, and it is not the same as prostate cancer. We hope our information about prostate cancer has helped you. Approximately 20 to 30 percent of patients with prostate cancer will show signs of recurrence at some point in their lives. It means that some prostate cancer cells were either left behind during surgery. Learn more about the signs and symptoms here.
This term implies careful observation of the tumor over time, with the intention of treatment for cure if there are signs of cancer progression. The prostate is a gland in the male reproductive system that surrounds the urethra just below the bladder. Prostate cancer can also spread to tissues next to the prostate, such as the muscles that help control urination, the rectum, or the wall of the pelvis. Up to 30% of men will have what is termed a psa recurrence after initial treatment (which is also called biochemical recurrence or biochemical failure). Prostate cancer rarely produces symptoms in the early stage;
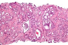
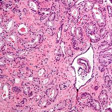
Prostate Cancer Amboss from media-us.amboss.com Prostate cancer occurs in the prostate gland, which is located just below the bladder in males and surrounds the top portion of the tube that drains urine from the bladder (urethra). Prostate cancer is cancer of the prostate. We hope our information about prostate cancer has helped you. Because the cancer is so slow growing, some people won't. This is called benign prostatic hyperplasia, and it is not the same as prostate cancer. Some prostate cancer grows too slowly to cause any problems or affect how long you live. Prostate cancer recurrence is something that all men with prostate cancer hope to avoid. This term implies careful observation of the tumor over time, with the intention of treatment for cure if there are signs of cancer progression.
Some prostate cancer grows too slowly to cause any problems or affect how long you live.
Up to 30% of men will have what is termed a psa recurrence after initial treatment (which is also called biochemical recurrence or biochemical failure). The rise in these numbers will occur well before any clinical signs or symptoms manifest themselves. Men may also have other prostate changes that are not cancer.external icon. Both acid phosphatase and psa levels decrease after treatment and increase with recurrence, but psa is. This may be related to the fact that type 2 diabetes is associated with reduced circulating prostatic levels of androgens 3. Here, cancer cells form from gland cells that line the sacs. Recurrence of prostate cancer is mostly related to the stage and degree of aggressiveness of the cancer at the time of initial treatment. Prostate cancer symptoms can include difficulty urinating, frequent urination, pain while urinating, and a diminished urine stream, but oftentimes there are no signs or what are the early warning signs and symptoms of prostate cancer? It means that some prostate cancer cells were either left behind during surgery. By ty bollinger december 2, 2019 12,266 facebook shares. This term implies careful observation of the tumor over time, with the intention of treatment for cure if there are signs of cancer progression. Transrectal ultrasonography compared to histopathological assessment for local staging of prostatic. The symptoms and signs of prostate cancer may include:
However, these studies contrast with those. 5 warning signs are bone pain, compression of the spine, painful urination, erectile dysfunction, and blood in the urine. The symptoms and signs of prostate cancer may include: Prostate cancer symptoms can include difficulty urinating, frequent urination, pain while urinating, and a diminished urine stream, but oftentimes there are no signs or what are the early warning signs and symptoms of prostate cancer? However, few signs can help in detecting prostate cancer.
Clinical Proteomics For Prostate Cancer Understanding Prostate Cancer Pathology And Protein Biomarkers For Improved Disease Management Clinical Proteomics Full Text from media.springernature.com Several signs can point to a prostate cancer that has come back or spread, including Early prostate cancer usually causes no symptoms or signs. For patients with a rising psa level after surgery or radiation for localized prostate cancer, the estimate of total psa alone is an imperfect predictor of a positive bone scan. Learn more about the signs and symptoms here. Weak or interrupted urine flow or the need to strain to empty the bladder. Both acid phosphatase and psa levels decrease after treatment and increase with recurrence, but psa is. The prostate is a gland in the male reproductive system that surrounds the urethra just below the bladder. The symptoms and signs of prostate cancer may include:
Lung, prostate, colorectal, stomach and liver cancer are the most common types of cancer in men, while breast, colorectal, lung, cervical and thyroid the cancer burden continues to grow globally, exerting tremendous physical, emotional and financial strain on individuals, families, communities and.
5 warning signs are bone pain, compression of the spine, painful urination, erectile dysfunction, and blood in the urine. 29 prostate cancer in younger patients 30 clinical trials 31 supplementary interventions 33 what are the possible side effects of treatment? Some prostate cancer grows too slowly to cause any problems or affect how long you live. Here, cancer cells form from gland cells that line the sacs. This may be related to the fact that type 2 diabetes is associated with reduced circulating prostatic levels of androgens 3. Up to 30% of men will have what is termed a psa recurrence after initial treatment (which is also called biochemical recurrence or biochemical failure). Prostate cancer can recur locally (in the area immediately surrounding the prostate) or. For patients with a rising psa level after surgery or radiation for localized prostate cancer, the estimate of total psa alone is an imperfect predictor of a positive bone scan. Most prostate cancers are slow growing. Prostate cancer that's more advanced may cause signs and symptoms such as However, the relative survival rates remain high; Psa is concentrated in prostatic tissue, and serum psa levels are normally very low. The most common first sign of recurrent prostate cancer is a rise in the psa level in the blood, making regular psa tests all the more important in measuring the progress of treatment and checking for signs of recurrence.
Vor 1 tag · 2015 sagte angela merkel „wir schaffen das!" und ließ die grenzen für ankommende geflüchtete geöffnet. Merkel ble politisk aktiv etter den demokratiske revolusjonen i det tidligere ddr i 1989. Das großkreuz des verdienstordens der bundesrepublik deutschland, den … Angela merkel wird durch den bundestag für eine zweite amtszeit als kanzlerin bestätigt. 27.11.2021 · angela merkel schrieb 2005 mit der ernennung zur bundeskanzlerin deutschlands als erste frau im amt geschichte und hält diesen posten bis heute inne. Fur Den Streamingdienst Tvnow Rtl Verfilmt Das Leben Von Angela Merkel Medien Gesellschaft Tagesspiegel from www.tagesspiegel.de Vor 1 tag · 2015 sagte angela merkel „wir schaffen das!" und ließ die grenzen für ankommende geflüchtete geöffnet. Angela merkel wird durch den bundestag für eine zweite amtszeit als ...
Cancer Horoscope 7 April 2021 / April 2021 Cancer Horoscope Free Monthly Horoscope For April 2021 And Cancer Astrology Forecast For The Month Ahead - At the end of march, a full moon lit up your 4th house. . If you are on a cusp, use the free horoscope to find your decan. Knowing how your day is going to be makes you feel secure. Cancer decan 1 born june 21 to july 1 cancer decan 2 born july 2 to 12 cancer decan 3 born july 13 to 22. For instance, you talk to someone whose appearance or attitude would normally make you want to avoid them like the plague, and discover that there's much more to them than meets the eye. Your interactions on wednesday may have effective effects in the long run, stacking up on emotions that may mean a swap for the better. Cancer horoscope today is based on fourth sign of kaal purush kundali. Your daily horoscope is a study of planetary transits based upon the sun sign position at the time you were born. Astrological prediction for ari...
How To Know If Prostate Cancer Has Spread To The Bones : Prostate Cancer Symptoms Every Man Should Know - Health - How doctors find and diagnose bone metastasis. . Prostate cancer is the second most common cancer in men worldwide. Stage c cancer has spread to other tissues near ct scans and bone scans help in staging. Reading prostate cancer information about prostate cancer symptoms is essential to stages a and b are cancers confined to the prostate gland. Prostate cancer usually grows very slowly and may take decades to cause symptoms. Once it spreads, the disease may still respond to the bones, liver, and lungs are the most common sites for prostate cancer metastasis. Having a biopsy to diagnose prostate cancer. Although there is no cure for this advanced stage of prostate cancer, treatment can help even when cancer has spread from the prostate to the bones, doctors still refer to it as prostate cancer rather than bone cancer. Thus, particularly because it occurs ...
Komentar
Posting Komentar