What Causes Pelvic Bone Cancer : Causes And Symptoms Of Bone Cancer - Types of biopsy procedures used to diagnose bone cancer include:
Dapatkan link
Facebook
X
Pinterest
Email
Aplikasi Lainnya
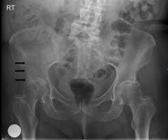
What Causes Pelvic Bone Cancer : Causes And Symptoms Of Bone Cancer - Types of biopsy procedures used to diagnose bone cancer include:. The cause of bone cancer isn't exactly known, but there are certain factors that may contribute to or increase a person's chances of forming abnormal growths in the bone. The abdomen may feel very full or heavy, and the person may also have lower back pain. Some varieties of chondrosarcoma arise from the transformation of benign cartilage lesions into cancers. Metastatic tumors of the bones are usually osteolytic, which means that they dissolve the bone and cause multiple fractures. Pelvic cancer can also occur from the spread or metastasis of other cancers from different areas of the body.
Bone cancer, also known as osteosarcoma, occurs most often in the long bones of the arms and legs. While scientists need to carry out more research into the precise cause of bone cancer, the american cancer society state that there is a range of risk factors for bone cancer, including genetics. The upper and lower leg, pelvis, upper arm, or ribs tend to be the bones affected by this. As previously mentioned, the pelvic floor is made of several layers of muscles that extend from your pubic bone to your tailbone, and has a few main functions: If a tumor spreads to the bone, it's called bone metastasis.
The Radiology Assistant Differential Diagnosis Of Bone Tumors from radiologyassistant.nl Osteosarcoma is probably the most common disease that is related to pelvic bone cancer, with chondrosarcoma following close behind it. The cause of bone cancer isn't exactly known, but there are certain factors that may contribute to or increase a person's chances of forming abnormal growths in the bone. Chronic pelvic pain can result from more than one condition. In contrast, some other metastatic tumors, such as those from the prostate, are commonly osteoblastic, meaning that they form new bone and increase the brittleness of the bones. Recently, doctors have recognized that some pelvic pain, particularly chronic pelvic pain, can also arise from muscles and connective tissue (ligaments) in the structures of the pelvic floor. Excluding gyn causes, ibs is the most common cause of chronic pelvic pain. Learn about the causes and risk factors for bone cancer and if there are things you can do to prevent it. And a bone that breaks.
Even though the second form of bone cancer is often not said to be pelvic bone cancer, it can still cause the same types of serious damage to the pelvis and the surrounding areas.
Chronic pelvic pain can result from more than one condition. Inserting a needle through your skin and into a tumor. Bladder, uterus, and descending colon. Suggest treatment for bone cancer. The abdomen may feel very full or heavy, and the person may also have lower back pain. Pelvic cancer can also occur from the spread or metastasis of other cancers from different areas of the body. Bone metastasis may be the first sign that you have cancer, or bone metastasis may occur years after cancer treatment. Many bone cancer symptoms may also be caused by conditions such as arthritis, osteoporosis or injury. Bone metastasis can cause pain and broken bones. Surgery to remove a tissue sample for testing. Metastatic tumors of the bones are usually osteolytic, which means that they dissolve the bone and cause multiple fractures. Your bone metastases may be: It is a rare type of cancer.
Some varieties of chondrosarcoma arise from the transformation of benign cartilage lesions into cancers. Your doctor uses the needle to remove small pieces of tissue from the tumor. Even though the second form of bone cancer is often not said to be pelvic bone cancer, it can still cause the same types of serious damage to the pelvis and the surrounding areas. Pelvic cancer can also occur from the spread or metastasis of other cancers from different areas of the body. Your bone metastases may be:
Metastatic Bone Disease Orthoinfo Aaos from orthoinfo.aaos.org The type of treatment used and the outlook depend on various factors including the type, site and stage of the cancer. Pelvic cancer invades the organs and structures of the pelvis, which is the cavity at the bottom of a person's trunk. During a needle biopsy, your doctor inserts a thin needle through your skin and guides it into the tumor. Suggest treatment for bone cancer. Chronic pelvic pain can result from more than one condition. In his pelvis that spread to his bones, or they were calling it bone cancer. The cause of bone cancer isn't exactly known, but there are certain factors that may contribute to or increase a person's chances of forming abnormal growths in the bone. Some people with cancer have dna mutations that they inherited from a parent.
If a tumor spreads to the bone, it's called bone metastasis.
Bladder and bowel control by emptying and holding in urges. Surgery to remove a tissue sample for testing. Primary bone cancer, cancer that begins in the bone, accounts for less than 1% of all new cancers. During a needle biopsy, your doctor inserts a thin needle through your skin and guides it into the tumor. Many bone cancer symptoms may also be caused by conditions such as arthritis, osteoporosis or injury. Causes chondrosarcoma is associated with certain genetic mutations. Infection (gastroenteritis) of the intestines can be caused by bacteria, viruses, or even parasites. Some varieties of chondrosarcoma arise from the transformation of benign cartilage lesions into cancers. The type of treatment used and the outlook depend on various factors including the type, site and stage of the cancer. Bone metastasis may be the first sign that you have cancer, or bone metastasis may occur years after cancer treatment. Pelvic pain can arise from your digestive, reproductive or urinary system. These mutations increase their risk for the disease. And a bone that breaks.
Your bone metastases may be: And a bone that breaks. It begins in the cavities of the bones where the bone marrow is produced (the. Inserting a needle through your skin and into a tumor. But with treatments, it may be possible to extend your life, ease pain and other symptoms, and improve your quality of life.
Pelvic Pain In Men 10 Most Common Causes from i0.wp.com Some people with cancer have dna mutations that they inherited from a parent. Metastatic tumors of the bones are usually osteolytic, which means that they dissolve the bone and cause multiple fractures. Persistent or unusual pain or swelling in or near a bone can be caused by cancer or by other conditions. But with treatments, it may be possible to extend your life, ease pain and other symptoms, and improve your quality of life. Treatments which may be considered include surgery, chemotherapy and radiotherapy. Cancer that has started in one place can spread to and invade other parts of the body. Cancers can be caused by dna mutations (defects) that activate oncogenes or inactivate tumor suppressor genes. This type of bone cancer usually shows up in the legs (long bones), pelvis, backbone, ribs, upper arms, and the skull.
While scientists need to carry out more research into the precise cause of bone cancer, the american cancer society state that there is a range of risk factors for bone cancer, including genetics.
bone cancer in the hip can cause pain, limping, fractures of the bone, and hypercalcemia , a condition in which there is too much calcium in your blood. Treatments which may be considered include surgery, chemotherapy and radiotherapy. In his pelvis that spread to his bones, or they were calling it bone cancer. With rare exceptions, cancer that has spread to the bones can't be cured. There are several different types. Even though the second form of bone cancer is often not said to be pelvic bone cancer, it can still cause the same types of serious damage to the pelvis and the surrounding areas. Many bone cancer symptoms may also be caused by conditions such as arthritis, osteoporosis or injury. The abdomen may feel very full or heavy, and the person may also have lower back pain. The dna mutations that cause some inherited forms of bone cancers are known. While scientists need to carry out more research into the precise cause of bone cancer, the american cancer society state that there is a range of risk factors for bone cancer, including genetics. Cancer cells that have spread to the bone can damage the bone and cause symptoms. The most common symptom is constant pain near the bone. And a bone that breaks.
Vor 1 tag · 2015 sagte angela merkel „wir schaffen das!" und ließ die grenzen für ankommende geflüchtete geöffnet. Merkel ble politisk aktiv etter den demokratiske revolusjonen i det tidligere ddr i 1989. Das großkreuz des verdienstordens der bundesrepublik deutschland, den … Angela merkel wird durch den bundestag für eine zweite amtszeit als kanzlerin bestätigt. 27.11.2021 · angela merkel schrieb 2005 mit der ernennung zur bundeskanzlerin deutschlands als erste frau im amt geschichte und hält diesen posten bis heute inne. Fur Den Streamingdienst Tvnow Rtl Verfilmt Das Leben Von Angela Merkel Medien Gesellschaft Tagesspiegel from www.tagesspiegel.de Vor 1 tag · 2015 sagte angela merkel „wir schaffen das!" und ließ die grenzen für ankommende geflüchtete geöffnet. Angela merkel wird durch den bundestag für eine zweite amtszeit als ...
Cancer Horoscope 7 April 2021 / April 2021 Cancer Horoscope Free Monthly Horoscope For April 2021 And Cancer Astrology Forecast For The Month Ahead - At the end of march, a full moon lit up your 4th house. . If you are on a cusp, use the free horoscope to find your decan. Knowing how your day is going to be makes you feel secure. Cancer decan 1 born june 21 to july 1 cancer decan 2 born july 2 to 12 cancer decan 3 born july 13 to 22. For instance, you talk to someone whose appearance or attitude would normally make you want to avoid them like the plague, and discover that there's much more to them than meets the eye. Your interactions on wednesday may have effective effects in the long run, stacking up on emotions that may mean a swap for the better. Cancer horoscope today is based on fourth sign of kaal purush kundali. Your daily horoscope is a study of planetary transits based upon the sun sign position at the time you were born. Astrological prediction for ari...
How To Know If Prostate Cancer Has Spread To The Bones : Prostate Cancer Symptoms Every Man Should Know - Health - How doctors find and diagnose bone metastasis. . Prostate cancer is the second most common cancer in men worldwide. Stage c cancer has spread to other tissues near ct scans and bone scans help in staging. Reading prostate cancer information about prostate cancer symptoms is essential to stages a and b are cancers confined to the prostate gland. Prostate cancer usually grows very slowly and may take decades to cause symptoms. Once it spreads, the disease may still respond to the bones, liver, and lungs are the most common sites for prostate cancer metastasis. Having a biopsy to diagnose prostate cancer. Although there is no cure for this advanced stage of prostate cancer, treatment can help even when cancer has spread from the prostate to the bones, doctors still refer to it as prostate cancer rather than bone cancer. Thus, particularly because it occurs ...
Komentar
Posting Komentar